1117 Pleasantville Road, Briarcliff Manor, NY 10510

Smile Gallery

An image of a person s mouth with severely discolored teeth, showcasing a dental condition.

Before

The image shows a close-up of a person s smiling mouth, revealing white teeth and pink gums.

After

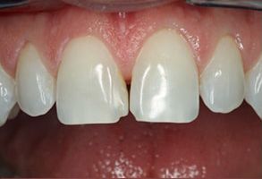
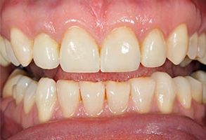
The image shows a close-up of a person s teeth with a focus on the top row, where there is visible discoloration and staining.

Before

The image shows a close-up view of a person s teeth with a focus on the lower front teeth, which appear to be discolored or stained.

After

The image shows a close-up of a person s face with a focus on their teeth, which are prominently displayed and appear to be in good condition.

Before

The image shows a close-up of a person s smiling mouth, revealing white teeth and a pink tongue.

After

An image of a close-up view of a person s teeth with visible signs of dental decay, set against a blurred background.

Before

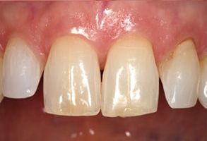
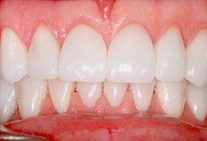
The image displays a close-up of a person s teeth and gums, showcasing a bright white smile with well-maintained dental hygiene.

After

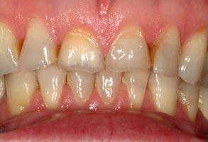
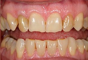
The image shows a close-up of a person s teeth with visible staining and discoloration, specifically focusing on the front teeth.

Before

The image shows a close-up of a person s mouth with a focus on their teeth, which are white and appear to be in good condition.

After

The image depicts a close-up of a person s teeth, showing a smile with a mix of natural and artificial teeth, including dental implants and possibly veneers or crowns, against the background of an oral cavity.

Before

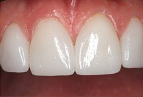
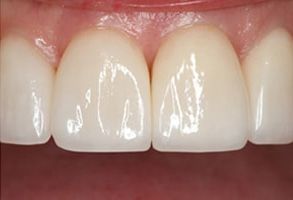
Image of a close-up view of a person s teeth with a focus on the upper front teeth, showcasing a bright and clean smile.

After

An image of a person s teeth with visible wear and discoloration, showcasing a dental condition.

Before

The image shows a close-up of a person s teeth, revealing a bright smile with white teeth and yellow stains on the front teeth.

After